El talento español se cita con la historia: Aitheroscope busca el trono de la innovación social de Fundación MAPFRE

La propuesta madrileña, que utiliza IA para detectar riesgos cardiovasculares a través del ojo, competirá el próximo 21 de mayo contra proyectos de Brasil, México y EE. UU. por un premio de 100.000 euros.

MADRID – La tecnología con alma vuelve a ser la protagonista. Tras analizar un récord de 469 candidaturas (un 34% más que el año anterior), la Fundación MAPFRE, en colaboración con IE University, ha desvelado los cuatro nombres que lucharán en la gran final de la 9ª edición de sus Premios a la Innovación Social. Entre ellos destaca un nombre propio con ADN español: Aitheroscope.

España mira al corazón a través de la mirada

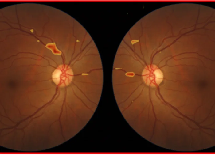
Desarrollado por la firma madrileña Horus ML, Aitheroscope es el representante europeo en esta final internacional. Su propuesta aborda uno de los grandes retos de la medicina moderna: la detección precoz de la aterosclerosis.

Mediante el uso de Inteligencia Artificial aplicada a retinografías (imágenes del fondo del ojo), esta herramienta permite identificar la acumulación de grasa en las arterias de forma no invasiva y económica desde la atención primaria. En un escenario donde estas patologías suelen detectarse cuando ya es demasiado tarde, Aitheroscope promete democratizar el diagnóstico temprano y salvar vidas desde la consulta del médico de familia.

Un duelo global de impacto humano

El proyecto español no lo tendrá fácil. El 21 de mayo, Madrid se convertirá en el epicentro del emprendimiento social recibiendo a otros tres titanes tecnológicos:

  • Desde Brasil: Livox. Una plataforma de IA inclusiva que da voz a personas con discapacidades severas. Capaz de interpretar gestos o parpadeos, ya opera en 24 países ayudando a miles de personas a comunicarse por primera vez.

 

  • Desde México: Duppla. Una asistencia digital centrada en la lucha contra el cáncer. Su modelo combina tests digitales y teleconsultas para romper la barrera del diagnóstico tardío, acompañando al paciente desde la prevención hasta el tratamiento

  • Desde EE. UU.: MindMuscle. Neurotecnología pediátrica enfocada en el TDAH y el autismo. Utilizan auriculares EEG y videojuegos de entrenamiento cognitivo para que los niños aprendan a autorregular su atención de forma lúdica y remota.

 

Más que un premio económico

Aunque el ganador absoluto se llevará una dotación de 100.000 euros para impulsar su solución —y los tres finalistas restantes 10.000 euros cada uno—, el valor del galardón trasciende lo monetario.

«El objetivo es destacar soluciones que mejoren la calidad de vida y el bienestar real de las personas», señalan desde la organización.

Los cuatro finalistas ya han comenzado a recibir mentoring estratégico por parte de IE University para perfeccionar sus modelos de negocio y comunicación. Además, pasan a integrar la Red Innova, una comunidad exclusiva de emprendedores donde el intercambio de conocimiento es el verdadero combustible para cambiar el mundo.

La cuenta atrás ha comenzado. El próximo mes, la innovación social dictará sentencia en Madrid.

Comparte en :

El Consistorio Digital no se responsabiliza del contenido de los artículos remitidos o de opinión, siendo cada autor responsable de sus propias creaciones.

También te puede interesar

Noticias similares

Deja una respuesta

Tu dirección de correo electrónico no será publicada. Los campos obligatorios están marcados con *

Rellena este campo
Rellena este campo
Por favor, introduce una dirección de correo electrónico válida.
Tienes que aprobar los términos para continuar